踝关节扭伤
是最常见的踝部损伤之一,据估计,全世界范围内每天每1万人中就有1人踝关节扭伤,扭伤可发生于运动员,也常见于普通人。
踝关节的负荷
踝关节的负荷与其关节面接触面积的大小有关:
静止情况下全足放平站立负重时,踝关节承受的压缩应力相当于体重的2倍;
前足站立时相当于体重的3倍;
负重期的推进期,关节面受到的应力相当于体重的5倍左右。
扭伤机制
距骨在踝穴内有无倾斜,会通过影响关节面接触面积而影响关节所受应力的大小。有轻度倾斜,关节面所受到的应力会因为承重面积变小而明显增加。
旋后位扭伤最为常见;
距骨体前宽后窄,当踝关节背屈时,其宽部进入踝穴,能防止踝关节向后脱位;当跖屈时,其窄部进入踝穴,则关节不稳,易向侧方活动。
旋后扭伤分类
依据韧带损伤程度(美国医学会分类),分为如下三类:
Ⅰ级:韧带过度拉伸;
Ⅱ级:部分韧带撕裂;
Ⅲ级:韧带完全撕裂。

依据损伤结构,分为如下三类:
Ⅰ度:ATFL损伤;
Ⅱ度:ATFL+CFL损伤;
Ⅲ度:ATFL+CFL+PTFL损伤。

依据临床表现,分为如下三类:
轻度:轻微功能丧失,无跛行,无肿胀或轻度肿胀,轻微压痛;
中度:中度功能丧失,踝关节不能背屈,行走时跛行,局部肿胀、压痛;
重度:弥漫性压痛和肿胀,病人需要拄拐行走。
辅助检查 治 疗

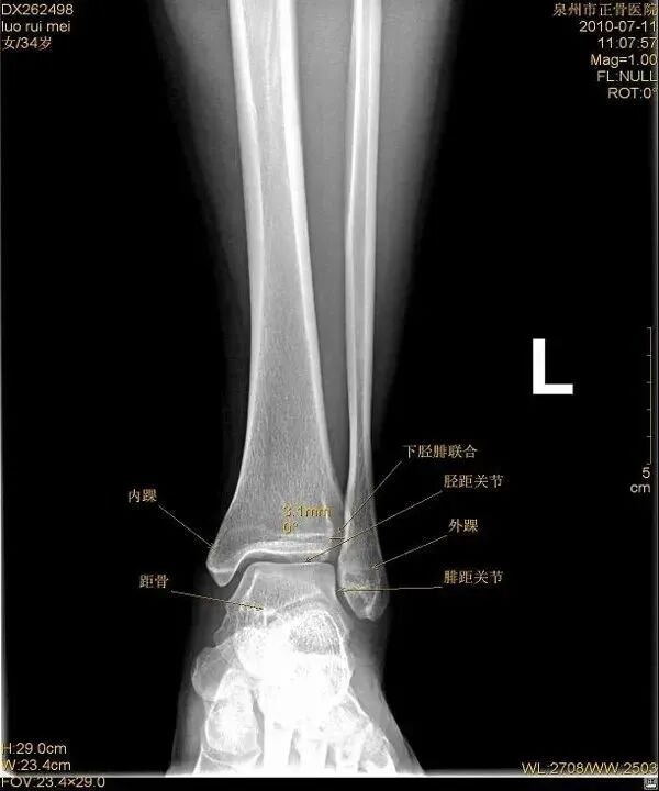
外旋位扭伤受伤时距骨受到外旋外力,或小腿内旋距骨受到相对外旋外力。随着外旋暴力增大下胫腓联合主要韧带断裂,下胫腓联合分离。严重的多合并外踝骨折或内侧韧带断裂。 





















急性期治疗原则:RICE→PRICE → POLICE(强调早期活动)
Protect:保护 ;
Optimal Loading:适当负重;
Ice:冰敷;
Compression:加压包扎;
Elevation:抬高患肢。

手法推伤治则治法:舒筋活络,活血止痛,滑利关节。
物理治疗物理治疗的种类:
声(超声波等);
光(激光、红外线、远红外线、紫外线等);
电(低频电、中频电、高频电、高压静电等);
磁(磁振热、低频磁疗、旋磁等);
热(蜡疗、红外线等);
冷(冰敷等)。
消炎、消肿;
改善循环;
镇静、镇痛;
兴奋神经-肌肉;
缓解痉挛、软化瘢痕、消散粘连;
加速伤口愈合、加快骨痂生长;
增加机体免疫。
禁忌症:
高热惊厥;
出血或出血性疾病;
活动性结核;
心肺功能不全、恶性肿瘤;
植入心脏超搏器、局部金属异物;
妊娠;
物理治疗应用于踝关节扭伤,可根据病情选用;
急性期可选用冷疗,慎用热疗;
早期可消肿止痛、缓解痉挛、改善循环;
中后期可软化瘢痕、消散粘连、兴奋肌肉-神经、促进组织修复。
西药治疗主要是对症处理:
止血、减少渗出;
消炎止痛;
改善循环、促进消肿;
缓解肌痉挛。

弹力绷带包扎方法:
内踝扭伤:

3级:韧带完全断裂,存在明显的肿胀和疼痛,关节不稳定。建议“U”型石膏轻度“矫枉过正”固定,撕脱骨折可同法处理。

功能锻炼第一阶段:急性期肿痛剧烈,应避免患肢活动,护具保护肿胀疼痛减轻后尽早练习跖趾关节屈伸活动踝部肿痛进一步减轻,应加强不负重的背伸、跖屈活动活动强度应逐渐增加,至活动后无疼痛肿胀,背屈接近正常;
第二阶段:进行踝关节内翻、外翻活动配合踝关节肌群等长练习、足背伸抗阻练习、提踵采用患肢单腿站立恢复踝关节本体觉开始练习负重和行走,逐渐过渡至跑步,然后做“8”字跑,进而训练跳跃,直至单足跳跃●整个阶段循序渐进,逐渐增加训练强度●开始时可佩带护具,以防再次损伤,肌力较强后再将护具去除。

手术治疗不提倡早期手术治疗!有研究显示选择手术治疗和非手术治疗的结果类似75~100%的患者有良好的治疗效果;踝关节不稳、肿痛、关节僵直、肌力下降等后遗症发生率大致相似主张对急性损伤实施非手术治疗,无论其稳定与否,非手术治疗花费更低,并发症更少,并且同样良好的治疗效果,后遗问题经二次手术修复重建,仍然有较好的效果。
早期选择手术治疗有争议,仅用于有以下严重损伤的年轻运动员:
韧带完全断裂后持续踝关节脱位;
内翻试验时倾斜大于10° ;
ATFL和CFL同时断裂。
手术方法包括:
直接缝合修复;
带线锚钉修复;
伸肌支持带加强修复;
肌腱移植重建。
术后处理:
屈伸0°,轻度外翻位短腿石膏或步行靴固定;
7~10d后可拆除石膏进行背屈和外翻活动;
4w后穿马镫支具活动,轻柔内翻和跟腱拉伸。
声明:本文为转载内容,如涉及版权问题请及时与我们联系,我们会立即处理,以保障双方利益。

加微信 快速预约
